Le Cerec est un système de restauration dentaire à base de céramique, réalisé directement au cabinet grâce à la CFAO.
Blog - Page 4
La méthode MIMI®-Flapless (Méthode d’Implantation Minimalement Invasive) désigne une technique de chirurgie implantaire sans ouverture de la gencive.
Un souci dentaire survenant lorsque vous êtes à l’étranger peut très vite se compliquer en cas de problème de communication avec le praticien consulté.
Un bridge est une prothèse fixe permettant de remplacer une ou plusieurs dents en s’appuyant sur les dents adjacentes.
Les premiers temps avec votre prothèse amovible : adoptez les bons réflexes pour faciliter la période d'adaptation.
Le rôle de l’assistant(e) dentaire peut prendre différentes formes, selon la structure du cabinet et le contenu du poste tel que prévu au départ
Une succion du pouce prolongée peut avoir des conséquences sur le développement de la mâchoire, des dents, et aussi sur l’élocution de l’enfant.
Testez vos connaissances, et trouvez les réponses aux questions sur votre santé bucco-dentaire.
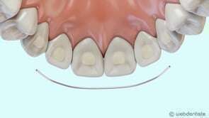
Grâce au développement de techniques discrètes et confortables, de plus en plus d’adultes ont recours à l’orthodontie.
Les prothèses amovibles complètes permettent de remplacer l’ensemble des dents sur une ou les deux mâchoires. Elles peuvent être insérées et enlevées à volonté.
La prothèse amovible sur implants permet de stabiliser une prothèse amovible totale (dentier) en la fixant sur des implants prévus à cet effet.











